
NEON™
Neon™ — модульная система для стабилизации позвоночника из заднего доступа от затылочной кости до верхнегрудного отдела позвоночника. В случае использования системы у детей, ею можно фиксировать весь позвоночник. Система адаптирована для проведения операций с различными системами компьютерной навигации.
Особенностью системы является модульность и возможность сочетания разных элементов в зависимости от патологии и индивидуальной анатомии пациента.
Показания
-
Нестабильность позвоночника любой этиологии (травма, опухоль, ревматоидные заболевания, врожденные аномалии развития)
-
Неудовлетворительная первичная стабилизация
-
Дегенеративные процессы
Преимущества
- Материал: титановый сплав
- Моноаксиальные канюлированные винты
- Возможность полиаксиального введения винтов (суммарный угол отклонения 16°) благодаря специальным вставкам
- Угловая и ротационная стабильность
- Система совместима с навигационным оборудованием
- Цветная маркировка коннекторов и спейсеров в зависимости от размера
- Удобный целевой инструмент
- Возможность винтовой и крючковой фиксации
- Снижена нагрузка на систему, что обеспечивает длительное функционирование импланта
- Чрескожное малоинвазивное применение
- Снижение дозы рентгеновского облучения пациента и медицинского персонала
Особенности системы
Модульность с учетом особенностей анатомии, широкий ассортимент компонентов
Возможность фиксации нескольких отделов (от затылочной кости до верхнегрудного отдела позвоночника) без использования переходников и дополнительных коннекторов
Высокая первичная и дальнейшая стабильность
Высокая безопасность — система устанавливается по направляющим, посредством канюлированного инструментария
Возможность имплантации из минидоступа, совместимость с компьютерной навигацией
Система Neon³
- Позволяет производить установку винтов всеми стандартными методиками
- Может быть использована как для открытого, так и перкутанного доступов
- Имеет усовершенствованный комплект инструментов, позволяющий работать с навигационными системами
- Максимальная гибкость и изменчивость конструкции, необходимая для индивидуальных анатомических особенностей пациента благодаря модульности конструкции
- Цветная маркировка винтов
- Канюлированные винты
- Снижение риска подвижности конструкции за счет формы винта
- Система содержит уникальные винты для верхне-грудного отдела позвоночника
- Совместима с стандартными системами грудо-поясничной фиксации
Преимущества
Надежность системы
- Канюлированные винты для надежного размещения винтов
- Введение винтов через систему троакаров
- Высокоточная направляющая сверла с простой регулировкой глубины
- Подготовлено к навигации — дополнительные инструменты не требуются
- Пластины для окципито-цервикальной стабилизации
Стабильность системы
- Высочайшая степень стабильности на рынке
- Кобальт-хромовые стержни для деформаций и длинных инструментов
- Можно комбинировать с винтами со стабильным углом (Neon™)
- Уникальная винтовая фиксация C1/C2
- Трансартикулярный винт с атласным когтем
- Винты в латеральные массы и траспедикулярные винты
- Канюлированные и фенестрированные винты
Удобство системы
- Эргономичные инструменты для идеального контроля
- Полиаксиальные тюльпановые винты с преангуляцией и без нее
- Высокая степень гибкости благодаря большому выбору разъемов
- Цветовая маркировка имплантатов и инструментов
Клинический пример 1
- Пациент:
- Мужчина, 42 года
- Диагноз:
- Переломовывих С4-С5, иммобилизация в корсете Минервы.
- Лечение:
- Выполнена стабилизация системой Neon™.
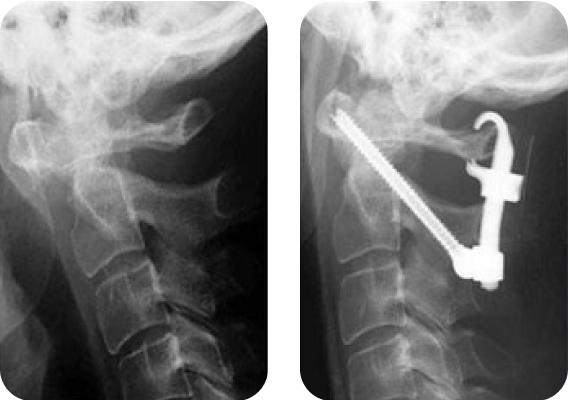
Клинический пример 2
- Пациент:
- Женщина, 62 года
- Диагноз:
- Нестабильность сегмента С1-С2 на фоне ревматоидного артрита
- Лечение:
- Выполнена трансартикулярная фиксация сегмента С1-С2 винтами и крючком Neon™.

Получить консультацию
Наш специалист с радостью ответит на ваши вопросы


